Elab Fluor® 647 Anti-Human CD5 Antibody[5D7] - Size: 100Testsx2
E-AB-F1371M-100Testsx2
ELABSCIENCE BIOTECHNOLOGY
€ 350,00
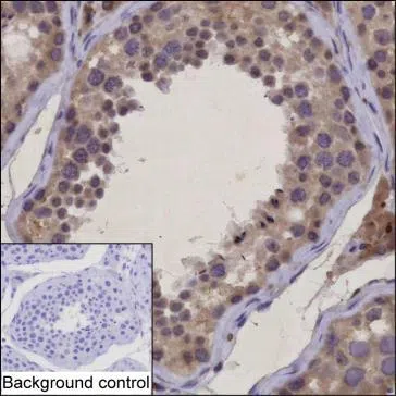
Recombinant Phospho-RNA Polymerase II CTD Repeat YSPTSPS (Ser5) Monoclon
AN302098L-50uL
ELABSCIENCE BIOTECHNOLOGY
€ 249,00